-
[ 목차 ]
"아이고 슨생님아! 나 다리 아파서 걷지도 못하겠는데 눕혀놓고 찰칵 찍었으면 됐지, 와 또 일어나서 서라 카노! 사람 잡네 사람 잡아!"
비가 추적추적 내리던 어제 오전, 무릎이 퉁퉁 부어오른 동네 단골 할머니께서 엑스레이 검사대 위에서 제게 던지신 찰진 원망입니다. 침대에 반듯하게 누워서 찍는 검사가 끝나고, 제가 "어르신, 이제 바닥으로 내려오셔서 두 발로 꼿꼿하게 서보실게요~"라고 말씀드리자마자 한숨을 푹 내쉬셨죠.
1차 의료기관에서 7년째 일하고 있는 현직 방사선사로서, 관절염으로 퉁퉁 부은 무릎에 체중을 싣고 서야 하는 그 고통을 모르는 바가 아닙니다. 저도 마음 같아서는 편하게 누워계실 때 후딱 다 찍어드리고 싶죠. 하지만! 제가 환자분들의 원성을 들어가면서까지 기어코 바닥에 '서서' 사진을 찍어내는 데는, 여러분의 진짜 병을 찾아내기 위한 '엄청난 중력의 비밀'이 숨어있습니다. 오늘은 아파 죽겠는데 굳이 일어나서 찍어야 하는 무릎 엑스레이의 속 사정을 속 시원하게 밝혀드릴게요.

1. 무릎 관절의 구조: X-ray는 '연골'을 볼 수 없다는 함정
이유를 알기 위해서는 먼저 우리 무릎의 해부학적 구조와 X-ray 장비의 특성을 이해해야 합니다.
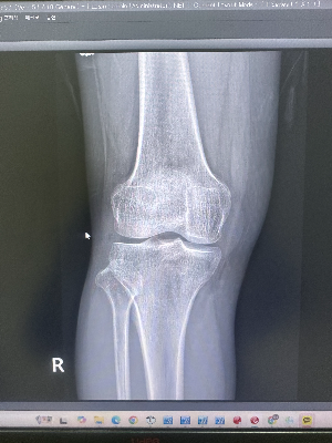
우리의 무릎(슬관절)은 위쪽의 넙다리뼈(대퇴골)와 아래쪽의 정강이뼈(경골)가 만나는 구조로 이루어져 있습니다. 그리고 이 두 뼈가 부딪히지 않고 부드럽게 움직일 수 있도록, 뼈의 끝부분에는 푹신푹신한 스펀지 같은 '관절 연골(물렁뼈)'과 '반월상 연골판'이 완충재 역할을 하고 있죠.
하지만 뼈와 같은 단단한 조직만 하얗게 보여주는 X-ray 검사 특성상, 수분과 단백질로 이루어진 부드러운 연골은 사진에 나타나지 않고 투명한 '빈 공간(검은색)'으로만 보입니다.
방사선사와 판독을 하는 의사 선생님들은 이 '빈 공간'의 간격을 보고 연골의 상태를 유추합니다. 위뼈와 아래뼈 사이의 간격이 넓고 일정하다면 연골이 두껍게 잘 보존되어 있는 것이고, 뼈 사이의 간격이 좁아져 뼈끼리 거의 닿을락 말락 한다면 연골이 닳아 없어졌다는 증거가 됩니다. 이것이 바로 관절염의 기수를 나누는 핵심 기준입니다.
2. 누워서 찍는 무릎 엑스레이 (Supine View)가 만드는 치명적인 '착시 현상'
그렇다면 처음 침대에 누워서 찍은 사진만으로는 왜 연골의 상태를 정확하게 판단할 수 없을까요? 답은 바로 '중력(체중)'에 있습니다.
환자분이 침대에 편안하게 천장을 보고 누우면(Supine 자세), 무릎 관절에는 체중이라는 압력이 전혀 가해지지 않습니다. 몸무게의 짓눌림에서 해방된 무릎 관절은 중력의 영향을 받지 않아, 주변의 관절 주머니(관절낭)와 인대들이 느슨하게 풀리게 됩니다.
이 상태에서 엑스레이를 찍게 되면, 실제로는 연골이 다 닳아서 너덜너덜해진 심각한 관절염 환자임에도 불구하고, 뼈와 뼈 사이의 간격이 정상인처럼 넓게 벌어져 보이는 치명적인 '착시 현상'이 발생합니다.
관절은 텅 빈 공간이기 때문에 누워있을 때는 위아래 뼈가 자연스럽게 떨어지게 되는 것이죠. 만약 누워서 찍은 사진만 보고 "어르신, 뼈 사이 간격이 넓네요. 관절염 아닙니다. 그냥 물리치료만 받으세요"라고 오진을 내린다면, 환자분은 통증의 진짜 원인을 찾지 못한 채 병을 더 키우게 될 것입니다. 누워서 찍는 사진은 뼈 자체에 금이 가거나 부러진 골절(Fracture) 유무를 확인하는 데에는 유용하지만, 관절염 진단에 있어서는 '가짜 정상'을 만들어낼 수 있는 위험한 사진입니다.
📌 3. 관절염의 민낯을 밝혀내는 '체중 부하 촬영 (Weight-Bearing View)'
반면, 침대에서 내려와 바닥에 두 발로 꼿꼿하게 서서 찍는 이른바 '체중 부하 촬영(Weight-Bearing View)'은 무릎 관절의 숨겨진 진짜 민낯을 적나라하게 보여줍니다.
환자분이 두 발로 바닥을 딛고 서는 순간, 환자분의 체중(몸무게)과 지구의 중력이 무릎 관절을 위에서 아래로 강하게 짓누르기 시작합니다. 이때 연골이 건강하고 두껍게 남아있는 정상적인 무릎이라면, 체중이 실리더라도 연골이 스프링처럼 버텨주기 때문에 뼈와 뼈 사이의 간격이 일정하게 유지됩니다.
하지만 퇴행성 변화로 인해 연골이 닳아 얇아지거나 찢어진 관절염 환자라면? 쿠션 역할을 해줄 연골이 없기 때문에, 체중이 실리는 순간 위쪽 넙다리뼈가 아래쪽 정강이뼈로 푹 주저앉아 버리게 됩니다. 서서 찍은 X-ray 사진을 보면, 뼈와 뼈가 쾅 부딪혀 공간이 아예 사라져버린(관절 간격 협소) 참담한 모습을 1초 만에 확인할 수 있습니다. 특히 한국인은 좌식 생활의 영향으로 무릎의 안쪽 연골이 주로 닳는 'O자형 다리(내반슬)' 변형이 흔한데, 서서 양쪽 무릎을 동시에 찍어보면 다리가 얼마나 휘었는지 그 각도까지 완벽하게 계산해 낼 수 있습니다.
💡 현직 방사선사의 전문 팁: 로젠버그 뷰 (Rosenberg View)
최근 정형외과에서는 서서 찍는 것에서 한 발 더 나아가, 무릎을 약 45도 정도 살짝 구부린 상태로 서서 찍는 '로젠버그 뷰(Rosenberg View)'를 많이 시행합니다. 사람이 걷거나 계단을 오를 때 가장 많이 체중이 실리고 연골이 가장 많이 닳는 부위(무릎관절의 후방부)를 집중적으로 보여주기 때문에, 숨어있는 초기 관절염을 잡아내는 데 가장 탁월한 최고급 촬영 기법입니다. 방사선사가 무릎을 살짝 구부리라고 한다면, 이 훌륭한 검사를 시행 중인 것이니 아프시더라도 조금만 참아주세요!
4. 현직 방사선사가 당부하는 무릎 X-ray 검사 꿀팁
정확한 관절염 진단을 위해 무릎 엑스레이 촬영 시 환자분들이 지켜주셔야 할 몇 가지 주의사항을 알려드립니다.
①바지는 무릎 위로 완전히 걷어 올려주세요!
청바지나 두꺼운 면바지의 재봉선, 바지 주머니에 들어있는 동전이나 열쇠, 심지어 무릎 보호대에 있는 찍찍이나 철심은 X-ray 상에 하얗게 나타나 연골의 간격을 완벽하게 가려버립니다. 병원에서 제공하는 품이 넓고 금속이 없는 고무줄 반바지로 갈아입으시거나, 입고 오신 바지를 허벅지 중간까지 팽팽하게 걷어 올려 피부가 드러나게 해주셔야 선명한 사진을 얻을 수 있습니다.
②파스나 테이핑은 검사 전 미리 떼어주세요.
무릎 주변에 붙인 한방 파스나 두꺼운 스포츠 테이핑 역시 엑스레이 빛을 방해하여 음영을 만들어냅니다. 검사실에 들어오시기 전에 아깝더라도 모두 제거해 주시는 것이 좋습니다.
③양쪽 다리에 체중을 똑같이 50:50으로 실어주세요.
서서 찍을 때 한쪽 무릎이 아프다고 해서 안 아픈 쪽 다리에만 짝다리를 짚고 서 계시면 안 됩니다. 아픈 쪽에 체중이 실리지 않으면 누워서 찍는 것과 똑같은 '착시 현상'이 발생합니다. 조금 시큰거리시더라도 양쪽 발바닥에 체중을 똑같이 분산시켜 반듯하게 서주셔야 양쪽 무릎의 연골 닳기 정도를 정확하게 비교할 수 있습니다.
5. 자주 묻는 질문 (FAQ)
Q1. 무릎 반월상 연골판이 찢어졌다는데 이것도 X-ray로 보이나요?
A. 아닙니다. X-ray로는 뼈와 뼈 사이의 간격이 좁아진 것을 보고 '연골이 닳았구나'라고 간접적으로 유추할 뿐, 연골판이나 십자인대가 찢어지고 파열된 형태를 직접 눈으로 볼 수는 없습니다. 이처럼 부드러운 연부조직의 정확한 파열 정도와 수술 여부를 판단하기 위해서는 반드시 자기공명영상(MRI) 검사나 초음파 검사를 추가로 진행하셔야 합니다.
Q2. 무릎 엑스레이를 찍고 뼈 주사(스테로이드)나 연골 주사를 맞아도 되나요?
A. 네, 가능합니다. 보통 정형외과에서는 서서 찍은 X-ray 사진을 바탕으로 관절염의 기수(KL grade 1~4기)를 정확하게 판정한 후, 그 단계에 맞는 적절한 주사 치료나 물리치료, 약물 처방을 결정합니다. 따라서 정확한 엑스레이 진단이 모든 치료의 첫 단추가 됩니다.
📌 결론: 한 번의 수고로움이 관절염의 조기 발견을 돕습니다.
아까 저에게 툴툴거리며 간신히 서서 사진을 찍으셨던 우리 할머니, 진료실에 들어가시고 나서 상황이 180도 바뀌었습니다. 누워서 찍었을 때는 뼈 사이가 벌어져 있어서 "어? 연골이 아직 남으셨나?" 싶었는데, 막상 서서 찍은 사진을 모니터에 띄우니 체중에 짓눌려 윗뼈와 아랫뼈가 완전히 딱 달라붙어 있는 '말기 관절염'의 민낯이 그대로 드러났거든요.
주사 치료를 받고 나오시며 "아이고, 우리 방사선사 슨생님이 나 억지로 세워서 찍은 이유가 있었네! 내가 몰라서 짜증 냈어~" 하고 제 손에 박카스 한 병을 쥐여주고 가셨습니다.
환자분들! 엑스레이실에서 제가 무리한 요구(?)를 하더라도, 그 한 번의 수고로움이 짓눌린 체중 밑에 숨어있는 관절염을 조기에 발견하는 유일한 열쇠라는 사실을 꼭 기억해 주세요. 1초만 꾹 참고 바르게 서주시면, 여러분의 100세 무릎 건강은 제가 가장 선명한 사진으로 지켜드리겠습니다. 오늘도 엑스레이실에서 환자분들과 줄다리기하는 7년 차 방사선사 지식장터였습니다!